A honlapon levő valamennyi tartalom (különös tekintettel fotókra, fajleírásokra és cikkekre) közvetlenül a honlapról történő bármilyen célú tovább hasznosítását (másolás, más felületen való megjelenítés, mesterséges intelligenciával kapcsolatos használat, stb.) megtiltjuk!
Ilyen igény esetén csak a szerzői joggal rendelkező tulajdonosok az illetékesek!
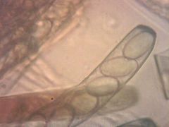
Peziza fimeti (Trágyacsészegomba)
Fotó, határozás: Baróti Anasztázia | Fotó, határozás: Baróti Anasztázia | Fotó, határozás: Baróti Anasztázia |
Fotó, határozás: Baróti Anasztázia | Fotó, határozás: Baróti Anasztázia | Fotó: Szilvásy Edit |
Fotó: Szilvásy Edit | Fotó: Szilvásy Edit | Fotó: Szilvásy Edit |
Fotó: Szilvásy Edit | Fotó: Szilvásy Edit | Fotó: Szilvásy Edit |